A set of measures aimed at combating signs of pathology is usually individual and is selected by a dermatologist for each patient based on the nature of the disease, patient's health and the presence (absence) of concomitant diseases.

How to treat psoriasis in the head and body? The main principle is an integrated approach: patients receive systemic medications, local medications and physiotherapeutic procedures. The treatment is complemented with proven domestic compositions made on the basis of natural components (medicinal herbs).
How to cure head psoriasis using system medications? For this purpose, patients should take medications from the following groups:
- The cytostatic (does not allow abnormal cells to multiply, avoid the degeneration of healthy structural elements of the epidermis in malignant formations);
- Antihistamines (relieve an allergic reaction, one of the factors that cause the exacerbation of psoriasis);
- Immunosuppressants (reduces the activity of body defenses);
- Sedative drugs (have a soothing effect on the nervous system);
- Retinoids (suppress the activity of the sebaceous glands, do not allow abnormal cells to spread);
- Systemic biological agents (reduces immunity activity);
- Hormonal tablets (injections): positively affect the general condition and good of the patient.
How to treat psoriasis in the head and body with the help of local media (external)? To this end, patients with an appropriate diagnosis are prescribed ointments, aerosols, creams, "conversationalists" and solutions. The use of these medications helps deal with several medical tasks:
- Eliminate skin itching in psoriatic spotlights;
- Get rid of peeling;
- Face pain and discomfort, minimize the inflammatory process;
- Avoid additional propagation of the body in the body.
The system and local treatment of medications are necessarily complemented with a diet. Therefore, patients suffering from psoriasis manifestations should carefully monitor their daily diet. It is recommended to abandon that food:
- Greedy fatty meat broths, smoked meats;
- Spicy and too salty dishes;
- Alcoholic beverages, exotic fruits, sweets;
- Strong tea and coffee;
- All that contains flavorings, dyes, preservatives.

Those patients who think about how to cure psoriasis in their heads should be forgotten forever from fatty and fried foods, "rapid" carbohydrates (in particular, cakes), should be introduced into a large number of vegetables and fruits, dietary meat varieties (fish), as well as several capsules factors.
Physiotherapy for psoriasis in the body and scalp:
- Light treatment (ultraviolet rays);
- PUVA methods;
- Acupuncture;
- Leave from the Dead Sea.
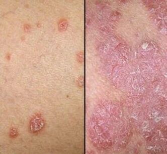
Symptoms of head psoriasis
With an inopportune treatment of psoriasis in the head area, negative symptoms in the form of active exfoliation and additional replacement of the plates are appreciated with a greater replacement of the plates. They can be seen not only in the scalp, but throughout the body.
Forms and stages of the disease
The residents of the northern hemisphere and the countries with a tempered climate are more susceptible to this pathology, in the countries of the south and tropical this disease is less common.
The disease is divided into the following stages:
Initial
The papules can be completely small and can increase over time. This generally happens on previously injured surfaces. A few days later, a grayish dye may appear in this place, for several weeks of the disease it does not progress. Plate formation talks about the death of the epithelium and replaces it with new ones.
If the skin was not affected, this process takes approximately 3 weeks, and in people with patients with psoriasis less than a week, since the epithelium does not have time to renew, the formation of plates with scales occurs.
Progressive
In which, as a rule, the plates begin to grow rapidly in quantity and size.They become more, they can connect to each other and more actively covered with the formation of gray scales. Around it, the skin becomes pink or red.
It is difficult to say, even first, how much the progression of the squamous lichen will continue. This process can take a couple of weeks. Otherwise, this will continue for several months. This stage is still characterized by greater itching in the places of destruction of the usual.

Stationary
With its beginning, the progression of the squamous lichen stops and the new plates are not formed.It can last an indefinite time, and then the progression can continue again, and the referral process can begin.
To understand that the stationary stage has begun, it will help, in addition to the termination of the formation of new psoriatic plates, those available are completely covered with a layer of scales, and itching and other sensations that cause discomfort have nothing.
Return
I am pleasant for sick patients, since the plaques begin to gradually acquire a tone more and more., gradually acquiring a body color or disappearing completely. They resolve, stop pearing, and for several months there is no trace of them.
For each patient, the deadlines for recoil are individual, sometimes this period can occupy a few months to several years, or even more.
Disadvantages of non -traditional therapy methods
Disadvantages of popular remedies:
- Often in the recipe, incompatible ingredients are connected.
- The effectiveness of many methods is not officially proven.
- The use of a recipe of one disease can cause the development of another.
- An excessive amount of herbs can cause an allergic reaction.
- Some plants are toxic.
- The slow beginning of the therapeutic effect.
Symptoms and the first signs of head psoriasis
Hair psoriasis often has a soft and almost invisible current. The signs of psoriasis of the head are individual and, therefore, some patients can develop a severe progression of the disease, which includes the formation of ulcers and a long pathology course. Intensive itching causes sleep disorders, and gross combs lead to skin infection and hair loss.
How do you see head psoriasis? A slight degree of illness has less pronounced manifestations: just notable specific eruptions are observed, which practically does not cause the patient any discomfort.
Moderate and severe grade includes the following symptoms and signs of the disease:
- Unequal rocky spots of a red violet tone.
- Dry scalp.
- Pelado appears, which resembles the dandruff.
- Unbearable itching.
- Burning and pain in the area of eruptions.
- Bleeding that arises from scratches or scales elimination.
- Temporary hair loss.
If the patient has a history of psoriasis in the head and some of the previous symptoms, this serves as a reason to contact a dermatologist again.

Prevention
To avoid the appearance of scalp psoriasis, it is useful:
- Avoid overheating and solar burns.
- Over time, diagnose and treat any disease.
- Wash and comb your hair with caution.
- Periodically perform the head of the head by treatment and prophylactic shampoos.
- Adhere to healthy and good nutrition.
- Avoid negative emotions, avoiding stressful states.
- Select cosmetics for skin and hair skin care according to its type.
Despite the fact that the scalp psoriasis is a serious illness, its treatment can be fast and painless. The main thing is to adhere to the recommendations of doctors and carefully monitor their health, avoiding any pathological manifestation.
Head psoriasis: treatment with pharmaceutical products
How to treat psoriasis in the head? For therapy for the light stage of the disease, it is generally sufficient to perform a treatment course with local medicines. When visiting a pharmacy, you must pay attention to the followingHighly effective drugs:
- Ichtyol ointment.Aimed at eliminating inflammatory processes. In addition, it is a good antiseptic and has an analgesic effect.
- Salicylic ointment.It is well known for its antiseptic and anti -inflammatory properties. It also accelerates the skin healing process of the scalp. You can use ointments containing 1-2% of the active substance.
- Naphtalan ointment.It has an antiseptic effect, it stops inflammation processes, it relieves pain. In addition, the effect of this ointment is aimed at the rapid regeneration of the epidermis cells of the scalp.
- Drugs containing tar. Aimed at suppressing rapid cell growth. Accelerating the exfoliation process. Contribute to the rapid healing of the skin.
- Antihistamines.Aimed at eliminating itching and pain. Inflammation also relieves well
- Ointments, which include vitamin D3Delete the active growth of epidermal cells. In addition, its action aims to increase the immune system of the skin. Stop the development of inflammatory processes.

Reasons
A characteristic feature of this pathology are the plates in the head, located not in the hair, but in the skin. These escamous spotlights can have different sizes and, in most cases, indicate the development of the initial stage of the disease. Psoriatic scales can easily be distinguished from dandruff by excessive sebaceous secretions.
As the main cause of the development of head psoriasis, modern medicine considers a violation of metabolic processes in the body.
Some factors that can cause the appearance of this pathology should also be taken into account:
- Mechanical damage to the skin located on the scalp.
- Weakened immunity.
- Patient exposure to stressful situations.
- Inadequate and not operator nutrition.
- The progression in the body of a patient with chronic ailments that have an infectious etiology.
- The presence of addictions, in particular, the abuse of drinks that contain alcohol and smoking.
- Violations in the work of the digestive tract.
- Prolonged medication (especially steroids).
- A systematic effect on hair and skin of low temperature conditions.
- Hormonal disorders (for example, a period of pregnancy, transition age, endocrine diseases, etc. ).
Suddenly, psoriasis on the back of the head, eyebrows, forehead and beard can appear at a female and male audience, whose age exceeds 35 years. In patients from the youngest age group, this ailment develops due to genetic predisposition. According to statistics, who perform medical institutions around the world, this form of psoriasis progresses within 5 days, while in other parts of the body the disease can occur acute for 3 or more weeks.
Location of lifes of defeat in the head
Psoriasis in the scalp is the most common form of the disease. It occurs in more than 60% of cases. In the absence of treatment, pathology often enters more serious ways. Psoriatic lesions are mainly located in the following areas:
- The skin on the ears, followed by the ears;
- Front, occipital part;
- rear neck;
- The separation of the hairy part.

Tips for traditional medicine
How to cure head psoriasis using popular recipes? As it means independent, they are not enough. But the additional use of domestic recipes for the treatment of psoriasis in the scalp is quite effective.
Recipe 1
Pass 300 grams of Celandine's grass through a meat grinder, press the juice of the resulting dough. Add to 30 ml of red dry wine. It smells the affected areas of the scalp with this mixture. Leave at least 15 minutes, then be good.
Recipe 2
Lubricate the scalp with Celandine's alcohol infusion. To prepare it, a quarter of a glass of dry grass pours ½ liter of medical alcohol and leaves for several hours. This popular remedy for psoriasis has a strong effect and can cause skin irritation. When unpleasant sensations appear, it must be washed with a neutral agent, and the hair is rinsed with a chamomile infusion.
Recipe 3
The tincture prepared on the basis of young sunflower baskets has a proclaimed anti -inflammatory effect and prevents additional reproduction of bacteria. The next medium recommended by popular medicine is adequate for the treatment of psoriasis, accompanied by infectious damage to the scalp sections of the scalp.
Two sunflower baskets must be washed completely, finely chopped and approximately 100 ml of white wine. Close the dishes with a lid and leave for 48 hours, then tighten the juice. It should be used as a compress. It is also recommended to simply lubricate the skin with sunflower dye.
Recipe 4
Mix the light or solidol oil jelly (300 g) with two chicken egg proteins, add a tablespoon of Linden honey and a Celandine grass spoon with a powder. Lubricate the affected skin with ointment.
Recipe 5
Head psoriasis can be cured, using rose stems at home. The dry branches must burn, ash is collected in clean plates, mixed with the same amount of oil gelatin and is used as an ointment. As a general rule, with the daily application, the effect appears in a week. Since this tool leads to rapid hair pollution, it is recommended to wash them every day with soap with special curative tar or shampoo.
Recipe 6
Treatment with popular remedies also implies the use of infusions and decoctions for internal administration.
One of the effective recipes for head psoriasis is black bisina infusion. 1/2 cup should be consumed (preferably after eating, approximately an hour later). The tool is prepared as follows: pour a tablespoon of 450 ml water flowers, insist an hour and a half.























